Skip to main content
Crowns & Bridges
A healthy, beautiful smile starts here

Crowns & Bridges | Dentist
Improve your smile today – call to schedule a consultation!
Claim Now!

Crowns & Bridges

It’s hard to believe the impact that even one missing or damaged tooth can have on your life.

Eating all the foods you love may be more difficult or impossible. Your speech may also be affected. Your self-confidence starts to fade because you just don't feel like smiling openly when socializing.

At Clark Dental Studio, we understand the frustration of having to deal with damaged teeth because you just don't have time in your busy life to deal with one more problem. Fortunately, we offer options that will get your smile back in shape in no time.

Restore Unhealthy Teeth with Crowns

If you’re looking for an effective, time-tested solution for correcting dental problems caused by disease, routine wear and tear, or accidents, a dental crown may be the answer.

Older fillings on your front teeth may cause cosmetic problems like discoloration. An old filling can also weaken the tooth and cause it to chip or break.

Dental crowns allow us to create a restoration that can resolve a variety of problems: 

  • Reinforce and protect teeth damaged by disease, trauma, or decay 
  • Fix functional problems like an uneven dental bite
  • Conceal esthetic flaws like wide gaps between teeth
  • Replace a missing tooth (dental implant restoration)
  • Protect a tooth after root canal treatment

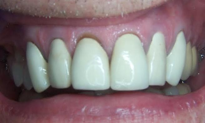
At Clark Dental Studio, we choose to use natural-looking porcelain crowns. Metal-lined porcelain crowns are also effective, but over time, a thin dark line can appear above the tooth, detracting from your appearance. Our durable porcelain crowns are just as effective and can be created to blend seamlessly with your natural teeth.

Replace Missing Teeth with Fixed Bridges

Fixed dental bridges are restorations that consist of an artificial tooth (pontic) and fill the empty space left after the loss of a natural tooth. Bridges are designed as a single unit that includes the artificial tooth and held securely in place by crowns attached to neighboring teeth. 

To create a customized bridge for you, we start by preparing the teeth where the bridge will be attached. Next, we'll take accurate digital impressions to form a mold of your tooth. This information is sent on to a respected dental lab where your restoration is crafted. A couple weeks later, you'll return to our Chattanooga office, and we'll adjust the bridge to ensure a perfect fit and a fully functioning tooth.

Please Call to Arrange an Appointment

Are you tired of trying to live your life around a damaged or missing tooth? It’s inconvenient, unattractive, and can have a dramatic effect on your self-confidence. There’s no reason to put up with these problems when crowns and bridges can easily restore your teeth to full health. Imagine being able to eat all your favorite foods and smile with confidence again!

Please call our Chattanooga dental office, and we’ll be happy to arrange an appointment at your convenience. 

Frequently Asked Questions

Short answer- veneers only cover the front of teeth, and crowns cover the whole tooth. Some things can prevent people from getting veneers like a poor bite or grinding habit (Bruxism). 

Let me answer this by telling a story. I’m always surprised by how expensive tires are when I go the mechanic. The last flat tire that I had replaced was almost $200. If a mechanic told me that I need to replace my tires every 50K miles and everytime I do that, it’s going to be almost $800, OR I could buy 4 ‘ultra long distance’ tires that last 200K miles for $1500. I would immediately do the math and know that I probably wouldn’t need to buy tires again if I buy the longer lasting tires. That’s how I feel about implants. With a success rate of greater than 95%, with proper care, dental implants are a great restorative option. 
It’s also nice to keep a one tooth problem a one tooth problem, meaning that if you lose one tooth, put back one tooth- don’t bring two other teeth into the mix unnecessarily. When only looking at replacing one tooth with an implant or getting bridge, in normal cases, the implant is only about 25% more. I also say that there are still cases that a traditional bridge is a better option, but with the advancement of implant technology and surgical techniques, they are becoming more rare.

Meet Our Doctor:

Dr. Matt Clark

Originally from Union City, Dr. Clark grew up wanting to be a dentist. He entered college close to home at the University of Tennessee-Martin, never changed his course of study, and stayed true to his plan, graduating with high honors and a degree in cell and molecular biology. He then went on to Memphis to attend and graduate from the University of Tennessee College of Dentistry.

Upon graduation, he moved to his wife’s hometown of Dyersburg to work in a pediatric dental office, which is the probable cause of his residual ...

Getting an appointment is fast and easy!
Get Started!