Skip to main content
Porcelain Veneers
A healthy, beautiful smile starts here

Porcelain Veneers | Dentist
Improve your smile today – call to schedule a consultation!
Claim Now!

Porcelain Veneers

Are you completely satisfied with the appearance of your smile?

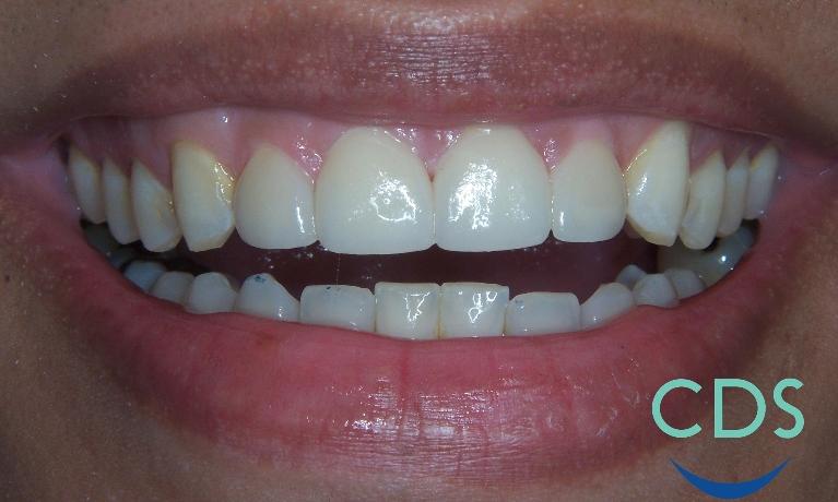
Like many people, you may have dental imperfections that make you self-conscious. Even if it’s just one discolored tooth, it probably feels like that small detail is all people notice about you when you smile.

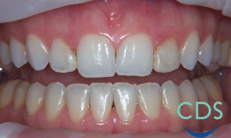
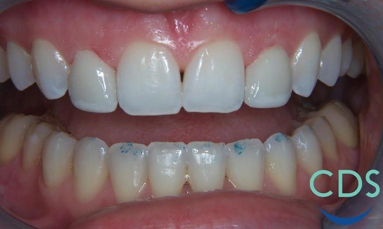
However, a single porcelain veneer placed at Clark Dental Studio may be all that you need to regain a perfect smile and your self-confidence. Our veneers are designed based on your individual needs to bring out the natural beauty of your smile. 

Versatile Porcelain Veneers 

Porcelain veneers are made of thin pieces of ceramic that are attached to upper and, in some cases, lower teeth. Since veneers are designed to mimic the translucent appearance of a natural tooth, we can place either a single veneer or multiple veneers based on your needs.

When bonded to your teeth, porcelain veneers are virtually undetectable, and their smooth finish makes them highly resistant to coffee, tea, and even tobacco stains.

Veneers are a popular cosmetic option. Since your veneers will be customized to your unique needs, they can be used to change the shape, color, size, and length of your teeth. Choosing veneers means you no longer have to deal with: 

  • Uneven spaces between teeth
  • Poorly shaped teeth
  • Chipped, cracked, and broken teeth
  • Teeth that are severely stained and resistant to whitening
  • Mildly misaligned teeth

Veneers cover your teeth and easily correct these flaws so that you can smile confidently again. They are long lasting and stain resistant. With proper oral hygiene and professional dental care, a veneer can last up to 10 years.  

Placing Your Porcelain Veneers

Crafting and placing custom veneers requires skill and strict attention to cosmetic detail. To get started, we’ll arrange an initial consultation with Dr. Clark to talk about the improvements you’d like to make to your smile. He will take a look and discuss what’s possible and what we need to do to help you achieve your goal.

Once we’ve developed a plan together, your teeth will be prepared by removing a very thin layer of enamel so your veneers fit naturally. We’ll take digital impressions, which will be sent to a dental lab for fabrication. 

Please Call Today to Arrange an Appointment

Are veneers right for you?

They work well for most people, but we may find that dental bonding or crowns might be a better option for you. The only way to know for sure is to arrange a veneers consultation with Dr. Clark. We’ll discuss your wants and desires, and help you choose the approach that will deliver the exact results you’re looking for.

Please call our Chattanooga dental office, and a friendly member of our team will be happy to help you arrange an appointment.

Frequently Asked Questions

Short answer- veneers only cover the front of teeth, and crowns cover the whole tooth. Some things can prevent people from getting veneers like a poor bite or grinding habit (Bruxism). 

Meet Our Doctor:

Dr. Matt Clark

Originally from Union City, Dr. Clark grew up wanting to be a dentist. He entered college close to home at the University of Tennessee-Martin, never changed his course of study, and stayed true to his plan, graduating with high honors and a degree in cell and molecular biology. He then went on to Memphis to attend and graduate from the University of Tennessee College of Dentistry.

Upon graduation, he moved to his wife’s hometown of Dyersburg to work in a pediatric dental office, which is the probable cause of his residual ...

Getting an appointment is fast and easy!
Get Started!