Clark Dental Studio
A Great Dentist

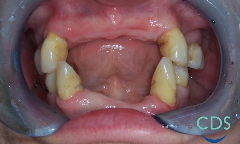
Smile Gallery: Full & Partial Dentures

Are you completely satisfied with the appearance of your smile, or is there some flaw you'd like to see corrected? Maybe you've been considering making a change for a while but just aren't sure which procedure's right or how it will look when it's finished. 

We've assembled a selection of Before and After photos of some of our actual patients. You can see the outstanding results we've achieved for them, so why not give us a call and let's see what we can do for you!

 

Not finding what you need?
If you have difficulty using our website, please email us or call us at (423) 266-7927
View the ADA Accessibility Statement