Clark Dental Studio
A Great Dentist

Veneers

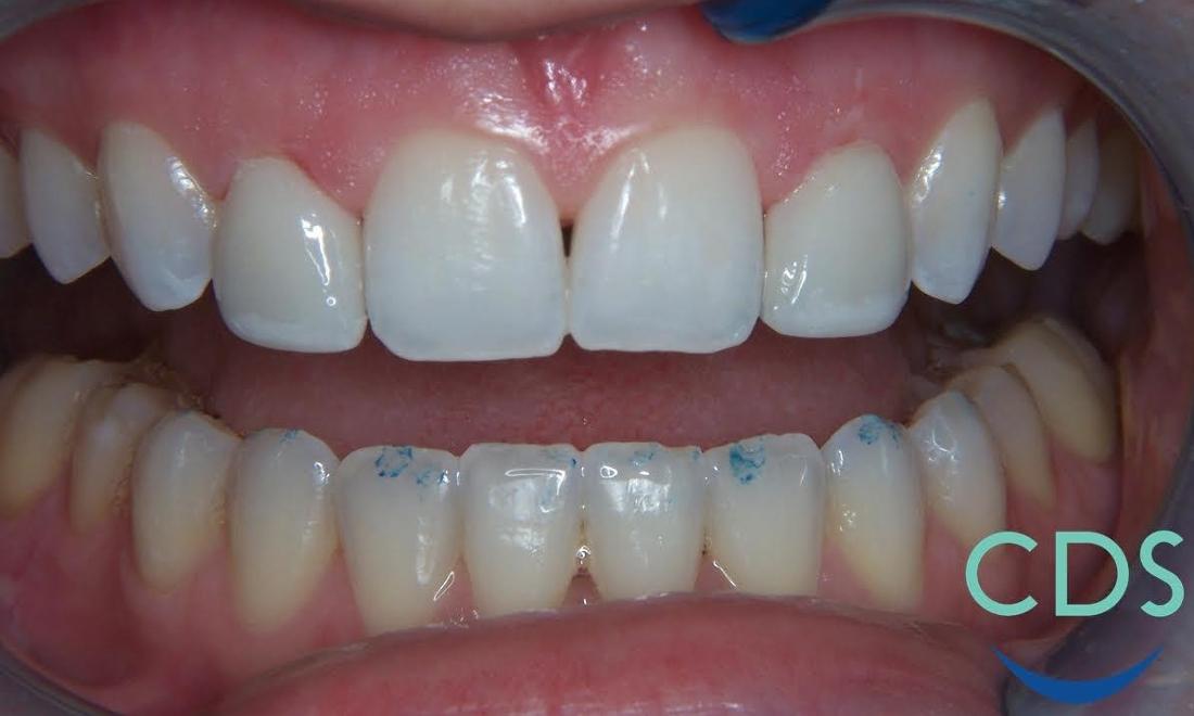
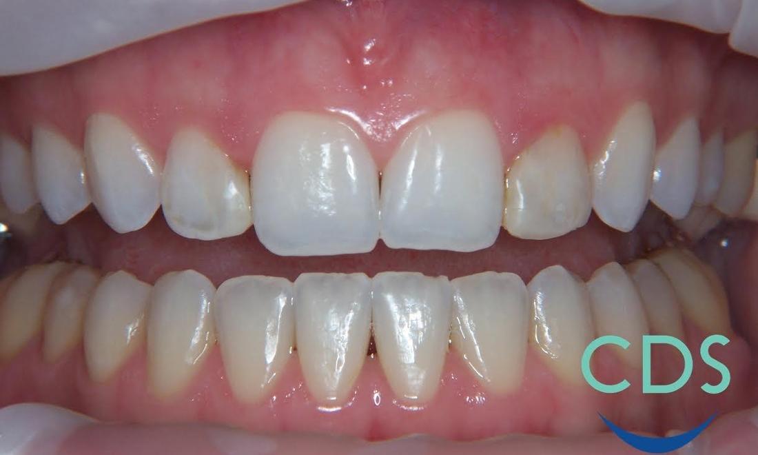
This patient was ready to do something more permanent with her 'peg laterals' (smaller than normal lateral incisors) that she had built up with composite filling material. Veneers were a great option because of conservation of tooth structure and aesthetics.

Related Services:

Porcelain Veneers
Great Experience!

I loved my visit to Clark Dental Studio and was very happy with my treatment!

Ready to book an appointment?
If you have difficulty using our website, please email us or call us at (423) 266-7927
View the ADA Accessibility Statement