Clark Dental Studio
A Great Dentist

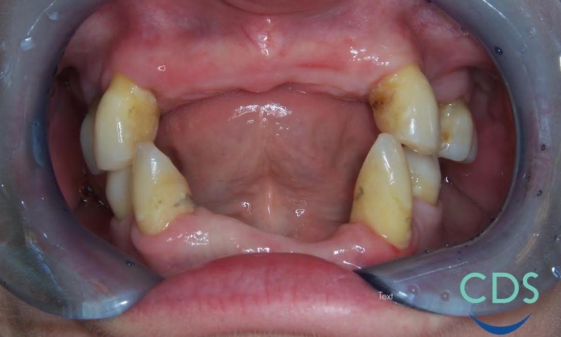
Full Dentures

This patient came in will ill-fitting partials and was interested in having the remaining teeth removed to achieve better aesthetics. Because of work, she did not want to go without teeth, so we extracted her remaining teeth and placed her in dentures the same day. Typically, this isn't done to allow for proper healing, but the patient eventually had these relined for a more comfortable fit. We had an excellent outcome in this case and the patient was very happy!

Related Services:

Full & Partial Dentures
Improve your smile today – call to schedule a consultation!
If you have difficulty using our website, please email us or call us at (423) 266-7927